切换至 "中华医学电子期刊资源库"

中华实验和临床感染病杂志(电子版) ›› 2020, Vol. 14 ›› Issue (03) : 253 -257. doi: 10.3877/cma.j.issn.1674-1358.2020.03.013

所属专题: 文献

论著

良性和恶性病因术后残胃黏膜组织学变化特征及幽门螺杆菌感染状况
李富林1,(), 李雪1, 彭代荣1   
  1. 1. 625400 雅安市,四川省石棉县人民医院普外科
  • 收稿日期:2019-02-27 出版日期:2020-06-15
  • 通信作者: 李富林

Histological changes of gastric mucosa and Helicobacter pylori infection status in patients after operation due to benign or malignant gastric diseases

Fulin Li1,(), Xue Li1, Dairong Peng1   

  1. 1. Department of General Surgery, Shimian County People’s Hospital, Ya’an 625400, China
  • Received:2019-02-27 Published:2020-06-15
  • Corresponding author: Fulin Li
  • About author:
    Corresponding author: Li Fulin, Email:
引用本文:

李富林, 李雪, 彭代荣. 良性和恶性病因术后残胃黏膜组织学变化特征及幽门螺杆菌感染状况[J/OL]. 中华实验和临床感染病杂志(电子版), 2020, 14(03): 253-257.

Fulin Li, Xue Li, Dairong Peng. Histological changes of gastric mucosa and Helicobacter pylori infection status in patients after operation due to benign or malignant gastric diseases[J/OL]. Chinese Journal of Experimental and Clinical Infectious Diseases(Electronic Edition), 2020, 14(03): 253-257.

目的

分析良性和恶性病因术后残胃黏膜组织学变化特征与幽门螺杆菌感染状况的关系。

方法

回顾性分析2014年2月至2019年2月于四川省石棉县人民医院因良性和恶性病因行胃部手术治疗患者共80例,其中36例为良性消化性溃疡患者(良性组),44例为早期胃患癌者(胃癌组),两组患者术后均行黏膜组织学与胃镜检测。分析入组患者病例资料(首次行胃大部切除手术时年龄、性别、术后病程、行胃镜检测年龄、幽门螺杆菌感染、手术病因、病理和胃镜检测结果和手术方式等),观察患者胃黏膜病变[慢性萎缩性胃炎(CAG)、肠化生(IM)和异型增生(DYS)发生率]、幽门螺杆菌感染率与胃黏膜炎症与活动性异常等,比较两组患者中幽门螺杆菌感染者与未感染者胃黏膜的病理特征。

结果

良性组患者手术年龄为(40.46 ± 6.71)岁,低于胃癌组[(54.08 ± 8.17)岁],胃镜检测年龄及术后病程分别为(67.78 ± 11.36)岁、(27.26 ± 8.87)年,高于胃癌组[(61.99 ± 11.03)岁和(8.04 ± 6.57)年],差异均有统计学意义(t = 10.419、P < 0.001,t = 3.102、P = 0.003,t = 13.964、P < 0.001);良性组患者幽门螺杆菌感染和胃黏膜活动性异常比例分别为47.22%(17/36)和66.67%(24/36),均显著高于胃癌组[31.82%(14/44)和40.91%(18/44)],差异有统计学意义(χ2 = 4.147、P = 0.039,χ2 = 8.239、P = 0.003)。良性组、胃癌组患者中幽门螺杆菌感染者胃黏膜活动性异常、CAG及癌前病变比例均高于无幽门螺杆菌感染者,而NAG比率低于无幽门螺杆菌感染者,差异均有统计学意义(P均< 0.05)。

结论

胃大部切除手术后残胃黏膜病变与进展和幽门螺杆菌感染存在一定关系,为预防残胃黏膜癌变可在幽门螺杆菌检测基础上加强胃镜随访。

To analyze the relationship between histologic changes of gastric mucosa and Helicobacter pylori (H. pylori) infection after operation caused by benign and malignant gastric disease.

Methods

Total of 80 patients after operation with benign or malignant causes in Shimian County People’s Hospital of Sichuan Province from February 2014 to February 2019 were collected, retrospectively, among whom, 36 cases with benign peptic ulcer (benign group) and 44 cases with early gastric cancer (gastric cancer group); after operation, mucosal histology and gastroscopy were performed, respectively. The clinical data of the patients were analyzed (age of the first subtotal gastrectomy, sex, course of operation, age of gastroscopy detection, H. pylori infection, surgical causes, pathology, results of gastroscopy and surgical methods). The gastric mucosal lesions [incidences of chronic atrophic gastritis (CAG), intestinal metaplasia (IM) and dysplasia (DYS)], the infection rates of H. pylori and the abnormal inflammation and activity of gastric mucosa were analyzed, respectively.

Results

The age of receiving operation in benign group was (40.46 ± 6.71) years old, significantly lower than that of gastric cancer group [(54.08 ± 8.17) years old] (t = 10.419, P < 0.001). The age of taking gastroscopy examination and postoperative course were (67.78 ± 11.36) years old and (27.26 ± 8.87) years old, significantly higher than those of gastric cancer group [(61.99 ± 11.03) years old and (8.04 ± 6.57) years old], with significant differences ( t = 3.102, P = 0.003; t = 13.964, P < 0.001). The rates of H. pylori infection and abnormal gastric mucosal activity in benign group were 47.22% (17/36) and 66.67% (24/36), respectively, which were significantly higher than those in the gastric cancer group [31.82% (14/44) and 40.91% (18/44)], with significant differences (χ2 = 4.147, P = 0.039; χ2 = 8.239, P = 0.003). Abnormal gastric mucosal activity, CAG and precancerous lesions of cases with H. pylori infeciton were significantly higher than cases without H. pylori infeciton in benign groups and gastric cancer groups, but the rate of NAG was significantly lower (all P < 0.05). Conclusions There was a certain relationship between gastric mucosal lesions and progression and H. pylori infection after subtotal gastrectomy. In order to prevent the carcinogenesis of residual gastric mucosa, the follow-up of gastroscopy based on the detection of H. pylori should be strengthened.

表1 两组患者的临床资料
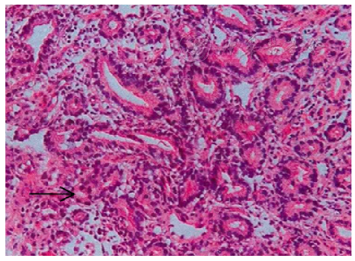
图1 患者典型残胃黏膜肠化生、萎缩和不典型增生(HE染色、×200)
图2 患者典型残胃黏膜高分化腺癌(HE染色、×200)
表2 两组患者的胃黏膜病变[例(%)]
表3 两组患者不同胃黏膜病理的幽门螺杆菌感染情况[例(%)]
[1]
张海涛, 孙浩, 李凯, 等. 胆汁反流性胃炎患者幽门螺杆菌感染及其胃粘膜病理学表现研究[J]. 实用肝脏病杂志,2018,21(6):149-152.
[2]
Burkitt MD, Duckworth CA, Williams JM, et al. Helicobacter pylori-induced gastric pathology: insights from in vivo and ex vivo models[J]. Dis Model Mech,2017,10(2):89-104.
[3]
何星, 徐凯进, 黄伟, 等. 幽门螺杆菌感染与胃黏膜"血清学活检"指标及病理改变的相关性分析[J]. 中华临床感染病杂志,2019,12(1):50-55.
[4]
崔建芳, 杨爱明, 姚方, 等. 胃上皮内瘤变内镜活组织检查与内镜切除标本病理结果差异分析[J]. 中华消化内镜杂志,2017,34(1):30-33.
[5]
杜亮, 吴学勇, 吴伟. 慢性萎缩性胃炎与胃镜,胃黏膜病理及幽门螺旋杆菌感染的相关性研究[J]. 陕西医学杂志,2017,46(12):1676-1677.
[6]
Kuo SH, Yeh KH, Wu MS, et al. First-line antibiotic therapy in Helicobacter pylori-negative low-grade gastric mucosa-associated lymphoid tissue lymphoma[J]. Sci Rep,2017,7(1):1433-1437.
[7]
张之南. 切合临床实用,追踪医学发展--评《实用内科学》(第12版)[J]. 中华内科杂志,2005,44(10):754-754.
[8]
中华医学会消化病学分会. 中国慢性胃炎共识意见(上)(2006,上海)[J]. 中华消化杂志,2007,27(1):45-49.
[9]
Kuo S, Tsai H, Lin C, et al. The B-cell-activating factor signalling pathway is associated with Helicobacter pylori independence in gastric mucosa-associated lymphoid tissue lymphoma without t(11;18)(q21;q21)[J]. J Pathol,2017,241(3):420-433.
[10]
辛华. 幽门螺杆菌L型感染对胃癌组织中增殖,凋亡,侵袭分子表达的影响[J]. 海南医学院学报,2017,23(10):1395-1397.
[11]
Estevam RB, Silva NMJWD, Silva EAWD, et al. Modulation of Galectin-3 and Galectin 9 in gastric mucosa of patients with chronic gastritis and positive Helicobacter pylori infection[J]. Pathol Res Pract,2017,213(10):420-425.
[12]
Talarico S, Leverich C, Bing W, et al. Increased H. pylori stool shedding and EPIYA-D cagA alleles are associated with gastric cancer in an East Asian hospital[J]. PLoS One,2018,13(9):925-928.
[13]
李顺清. 胃癌病变过程中恶性生物学分子表达与幽门螺杆菌感染的关系探究[J]. 海南医学院学报,2017,23(8):1106-1108.
[14]
Hou Q, Ye L, Liu H, et al. Lactobacillus accelerates ISCs regeneration to protect the integrity of intestinal mucosa through activation of STAT3 signaling pathway induced by LPLs secretion of IL-22[J]. Cell Death Differ,2018,25(9):305-309.
[15]
Negovan A, Pantea M, Banescu C, et al. Response to: comment on "factors associated with recurrent ulcers in patients with gastric surgery after more than 15 years: A cross-sectional single-center study" [J]. Gastroent Res Pract,2019,19(58):1-4.
[16]
常如琦, 霍丽娟, 田玲琳, 等. 幽门螺杆菌感染人胃黏膜上皮细胞GES-1增殖与S100A8和S100A9表达的研究[J]. 中华消化杂志,2018,38(6):377-381.
[17]
胡世裕, 翟惠虹, 徐瑞, 等. 幽门螺杆菌根除后胃早癌的特点[J]. 中华消化内镜杂志,2018,35(5):378-380.
[18]
Hanifeh M, Rajamäki MM, Syrjä P, et al. Identification of matrix metalloproteinase-2 and -9 activities within the intestinal mucosa of dogs with chronic enteropathies[J]. Acta Veterinaria Scandinavica,2018,60(1):16-20
[19]
钟世顺, 梁玮, 邓万银, 等. 胃黏膜平坦型病变194例的胃镜下诊断和病理分析[J]. 中华消化杂志,2017,37(5):331-333.
[20]
Abadi ATB. Strategies used by helicobacter pylori to establish persistent infection[J]. World J Gastroenterol,2017,23(16):2870-2882.
[21]
高杰, 林倩云, 彭文玲, 等. 幽门螺杆菌和胃微生态系统与胃疾病的关系[J]. 中华消化杂志,2017,37(3):205-208.
[22]
Tahara T, Tahara S, Tuskamoto T, et al. Magnifying NBI patterns of gastric mucosa after Helicobacter pylori eradication and its potential link to the gastric cancer risk[J]. Digest Dis Sci,2017,62(9):241-244.
[23]
Safatleribeiro AV, Ribeiro U, Sakai P, et al. Gastric stump mucosa: is there a risk for carcinoma?[J]. Arquivos De Gastroenterologia, 2001,38(4):227-231.
[24]
Chey WD, Wong BC. American college of gastroenterology guideline on the management of Helicobacter pylori infection[J]. Am J Gastroenterol, 2007,102(8):1808-1825.
[25]
Fock KM, Katelaris P, Sugano K, et al. Second Asia-Pacific Consensus Guidelines for Helicobacter pylori infection[J]. J Gastroen Hepatol,2009,24(10):1587-1600.
[1] 崔玉峰, 林毅军, 王志民. 幽门螺杆菌分子检测技术研究进展[J/OL]. 中华实验和临床感染病杂志(电子版), 2024, 18(05): 257-262.
[2] 郭伟仪, 林沛玲. 不同抗体型幽门螺杆菌感染与溃疡性结肠炎患者疾病活动及组织学评分的关系[J/OL]. 中华实验和临床感染病杂志(电子版), 2024, 18(04): 237-244.
[3] 李国新, 陈新华. 全腹腔镜下全胃切除术食管空肠吻合的临床研究进展[J/OL]. 中华普外科手术学杂志(电子版), 2025, 19(01): 1-4.
[4] 陈方鹏, 杨大伟, 金从稳. 腹腔镜近端胃癌切除术联合改良食管胃吻合术重建His角对术后反流性食管炎的效果研究[J/OL]. 中华普外科手术学杂志(电子版), 2025, 19(01): 15-18.
[5] 许杰, 李亚俊, 韩军伟. 两种入路下腹腔镜根治性全胃切除术治疗超重胃癌的效果比较[J/OL]. 中华普外科手术学杂志(电子版), 2025, 19(01): 19-22.
[6] 任佳, 马胜辉, 王馨, 石秀霞, 蔡淑云. 腹腔镜全胃切除、间置空肠代胃术的临床观察[J/OL]. 中华普外科手术学杂志(电子版), 2025, 19(01): 31-34.
[7] 韩戟, 杨力, 陈玉. 腹部形态CT参数与完全腹腔镜全胃切除术术中失血量的关系研究[J/OL]. 中华普外科手术学杂志(电子版), 2025, 19(01): 88-91.
[8] 王露, 周丽君. 全腹腔镜下远端胃大部切除不同吻合方式对胃癌患者胃功能恢复、并发症发生率的影响[J/OL]. 中华普外科手术学杂志(电子版), 2025, 19(01): 92-95.
[9] 梁孟杰, 朱欢欢, 王行舟, 江航, 艾世超, 孙锋, 宋鹏, 王萌, 刘颂, 夏雪峰, 杜峻峰, 傅双, 陆晓峰, 沈晓菲, 管文贤. 联合免疫治疗的胃癌转化治疗患者预后及术后并发症分析[J/OL]. 中华普外科手术学杂志(电子版), 2024, 18(06): 619-623.
[10] 孟令凯, 李大勇, 王宁, 王桂明, 张炳南, 李若彤, 潘立峰. 袖状胃切除术对肥胖伴2型糖尿病大鼠的作用及机制研究[J/OL]. 中华普外科手术学杂志(电子版), 2024, 18(06): 638-642.
[11] 刘海旺, 施海, 尚利峰. 不同吻合器在腹腔镜远端胃癌根治术Roux-en-Y式吻合中的应用对比[J/OL]. 中华普外科手术学杂志(电子版), 2024, 18(06): 643-646.
[12] 玉素江·图荪托合提, 韩琦, 麦麦提艾力·麦麦提明, 黄旭东, 王浩, 克力木·阿不都热依木, 艾克拜尔·艾力. 腹腔镜袖状胃切除或联合食管裂孔疝修补术对肥胖症合并胃食管反流病的中期疗效分析[J/OL]. 中华疝和腹壁外科杂志(电子版), 2024, 18(05): 501-506.
[13] 刘见, 杨晓波, 何均健, 等. 应用电钩三孔法腹腔镜袖状胃切除术[J/OL]. 中华腔镜外科杂志(电子版), 2024, 17(06): 363-364.
[14] 谢浩文, 丁建英, 刘小霞, 冯毅, 姚婧. 椎旁神经阻滞对微创胃切除肥胖患者术中血流、术后应激及康复质量的影响[J/OL]. 中华消化病与影像杂志(电子版), 2024, 14(06): 569-573.
[15] 杨卫东, 周威, 向洪涛. 慢性萎缩性胃炎患者幽门螺杆菌感染与炎性细胞因子及病理特征的关系[J/OL]. 中华消化病与影像杂志(电子版), 2024, 14(05): 459-464.
阅读次数
全文


摘要


AI


AI小编
你好!我是《中华医学电子期刊资源库》AI小编,有什么可以帮您的吗?