切换至 "中华医学电子期刊资源库"

中华实验和临床感染病杂志(电子版) ›› 2020, Vol. 14 ›› Issue (01) : 1 -5. doi: 10.3877/cma.j.issn.1674-1358.2020.01.001

所属专题: 文献

新型冠状病毒肺炎专题

新型冠状病毒感染的特征及应对
王凌航1,()   
  1. 1. 100015 北京,首都医科大学附属北京地坛医院感染病急诊
  • 收稿日期:2020-02-05 出版日期:2020-02-15
  • 通信作者: 王凌航
  • 基金资助:
    “十三五”传染病重大专项“呼吸道病毒性传染病病原谱流行规律及变异研究”子课题“成人下呼吸道感染病原谱流行规律及变异研究”(No.2017ZX10103004-018)

Characteristics and countermeasures of 2019-nCoV infection

Linghang Wang1,()   

  1. 1. Emergency Infectious Diseases, Beijing Ditan Hospital, Capital Medical University, 100015 Beijing, China
  • Received:2020-02-05 Published:2020-02-15
  • Corresponding author: Linghang Wang
引用本文:

王凌航. 新型冠状病毒感染的特征及应对[J/OL]. 中华实验和临床感染病杂志(电子版), 2020, 14(01): 1-5.

Linghang Wang. Characteristics and countermeasures of 2019-nCoV infection[J/OL]. Chinese Journal of Experimental and Clinical Infectious Diseases(Electronic Edition), 2020, 14(01): 1-5.

2019年12月发生在武汉的“不明原因聚集性肺炎”病例初始判断为与华南海鲜市场点源暴露相关[1],中国学者迅速明确为新型冠状病毒感染所致的肺炎病例[2],病原序列特征很快明确,2020年1月7日,中国研究者将新冠状病毒全序列特征上传到NIH GeneBank数据库和GISAID数据库供全球共享,WHO也迅速将新型冠状病毒命名为2019-nCoV[3];关于病毒感染的特征和临床应对,在此做一述评。

Initially reported “cluster of pneumonia cases of unknown etiology” were associated with exposure to Huanan Seafood Wholesale Market in Wuhan in December, 2019[1].Chinese scholars rapidly identified that it was a new coronavirus which caused the pneumonia cases[2].The virus was thoroughly sequenced and on January 7, 2020, Chinese researchers shared the full genetic sequence of 2019-nCoV through the National Institutes of Health GenBank database and the Global Initiative on Sharing All Influenza Data (GISAID).Soon later, the virus was named as 2019-nCoV by WHO[3].This review is for elucidation of the characteristics of the new virus and new disease, simultaneously, the management suggestion of 2019-nCoV infection is also mentioned here.

图1 新型冠状病毒(2019-nCoV)感染的假想疾病谱模式图
图2 新型冠状病毒肺炎患者早期胸膜下淡斑片状影
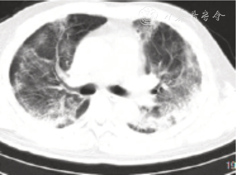
图3 重症新型冠状病毒肺炎患者胸部影像 注:肺部影响可见多叶段受累,间质性肺炎,磨玻璃样,实变影
图4 2019-nCoV感染病例特征 注:2019年底跨越种属感染人类的新型冠状病毒(2019-nCoV)造成的人类感染病例综合了既往6种冠状病毒的特征,既可以引起轻症病例,发现困难,不易控制;又可以引起重症病例,导致病死率升高,易引起恐慌
[1]
A novel coronavirus outbreak of global health concern[J].https://doi.org/10.1016/S0140-6736(20)30185-9.
[2]
Zhu N, Zhang DY, Wang WL, et al.A novel coronavirus from patients with pneumonia in China, 2019[J].N Engl J Med, 2020.[Published Online]
[3]
World Health Organization.Clinical management of severe acute respiratory infection when novel coronavirus (2019-nCoV) infection is suspectedI-nterim guidance[S].http:WHO/nCoV/Clinical/2020.2
[4]
Munster VJ, Koopmans M, Doremalen NV, et al.A novel coronavirus emerging in China--key questions for impact assessment[J].N Engl J Med, 2020.[Published Online].
[5]
Perlman S.Another decade, another coronavirus[J].N Engl J Med,2020.[Published Online].
[6]
Li Q, Guan XH, Wu P, et al.Early transmission dynamics in Wuhan,China, of novel coronavirus-Infected pneumonia[J].N Engl J Med,2020.[Published Online].
[7]
Huang CL, Wang YM, Li XW, et al.Clinical features of patients infected with 2019 novel coronavirus in Wuhan, China[J].www.thelancet.com, 2020.[Published Online].
[8]
Holshue ML, DeBolt C, Lindquist S, et al.First case of 2019 novel coronavirus in the United States[J].N Engl J Med,2020.[Published Online].
No related articles found!
阅读次数
全文


摘要


AI


AI小编
你好!我是《中华医学电子期刊资源库》AI小编,有什么可以帮您的吗?